Už je to na houby! Vyražte taky! (3.C)
2.10.2025

Už je to na houby! Vyražte taky! (3.C)

A jako vždy nejoblíbenější projektové téma. 

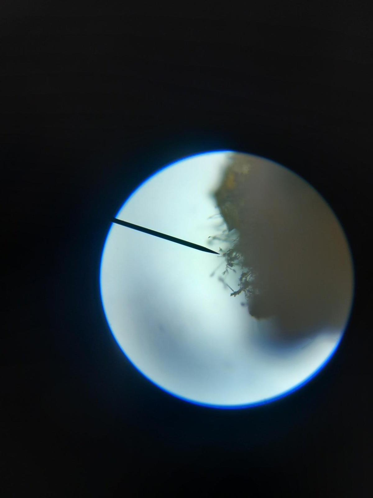
Už se za ty roky stává tradicí, že třeťáci zahajují projektový rok HOUBAMI a jako vždy to všechny velmi baví - ať jsou milovníky hub na talíři nebo ne :) Nejprve jsme začali poznáváním, co vše je a není houba: prohlíželi jsme si plísně, dělali pokus na růst kvasinek a představili si klasické houby s plodnicí. Na ty jsme se pak zaměřili důkladně. Pod mikroskopem jsme pozorovali, jak vypadají na spodu klobouku rourky a jak lupeny. Naučili jsme se stavbu těla hub, jejich rozmnožování, výživu a jak funguje lesní symbioza hub a stromů. Po pravidlech houbaření a první pomoci jsme se rozhodli vyrazit do terénu ověřit si naše "myko dovednosti". Jelikož jsme už věděli, jak a po čem pátrat, stačil nám i menší plácek lesniho porostu a obejvovali jsme velmi pozoruhodné houbové poklady - jedlé i nejedlé. Podařilo se nám přinést úlovky na výstavu pro ostatní žáky i něco málo k večeři:)

Autor: Jana Hubová
Sdílet  

Fotogalerie

Naše škola zpracovává v souvislosti s využitím webových stránek pouze taková cookies, která jsou nezbytně nutná pro zajištění provozu webových stránek a internetových služeb, a u kterých není nutno získat souhlas uživatele webu (technické a relační cookies). Pravidla cookies